
Верхушки веточек. Свердловская обл., окр. г. Заречный, заболоченный участок сосново-берёзового леса, на крупном сосновом валеже. 16.10.2025.
Смотри также:
Обсуждение (10)
Все фото таксона (8)
Код ссылки на фото
| Создать: | HTML или BBCode с "превьюшкой" |
| Код для ссылки в Сети: | |
| Так это будет выглядеть: | ![]() Sciuro-hypnum oedipodium на сайте «Плантариум» |
Ссылки для публикаций
Козловских А. 2026. Изображение Sciuro-hypnum oedipodium (Mitt.) Ignatov & Huttunen // Плантариум. Растения и лишайники России и сопредельных стран: открытый онлайн атлас и определитель растений. [Электронный ресурс] URL: https://www.plantarium.ru/page/image/id/866012.html (дата обращения: 11.05.2026).
Kozlovskikh A. 2026. Image of Sciuro-hypnum oedipodium (Mitt.) Ignatov & Huttunen // Plantarium. Plants and lichens of Russia and neighboring countries: open online galleries and plant identification guide. URL: https://www.plantarium.ru/lang/en/page/image/id/866012.html (accessed on 11 May 2026).
Просмотры: 383Обсуждение
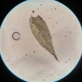
| Александр Козловских | * растения от среднего размера до крупных, в рыхлых дерновинках, чисто светло-зеленые;
* стебель простертый, неправильно перисто ветвящийся, уплощённо облиственный;
* стеблевые листья яйцевидные, яйцевидно-треугольные, постепенно заостренные, в основании коротко или длинно низбегающие, не вогнутые, не складчатые;
* край б.м. сильно пильчатый;
* жилка достигает 0.6–0.75 длины листа;
* клетки в середине листа линейные, извилистые, б.м толстостенные, к основанию постепенно более короткие и широкие, образующие б.м. прозрачную зону во всю ширину листа почти до жилки;
* в углах основания — б.м прямоугольные, образуют слабо отграниченную группу.
Размер стеблевых и веточных листьев, заметно уменьшающийся к верхушкам, и чисто светло-зеленый цвет — характерные его отличия от других видов.
Листья: |
| Александр Козловских | |
| Александр Козловских | |
| Александр Козловских | |
| Анастасия Карелина | Возможно Rhynchostegium |
| Александр Козловских | Анастасия, спасибо, похоже по форме листьев на некоторые виды, но подобрать ни один не смог(. |
| Анастасия Карелина | Если только загадочный Rhynchostegium confertum, распространение которого неизучено |
| Александр Козловских | Да, по описанию "Флоры ..." он больше всех подходит, но:
"растет на каменистой почве и камнях, от сырых и затененных мест до б. м. открытых, часто вдоль троп и дорожек." и "стеблевые листья ... к основанию вогнутые" — а тут прямые все листья и растёт на валеже в сыром логу. |
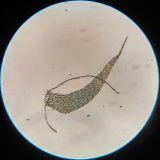
| Денис Мирин | У Rhynchostegium confertum клетки в основании листа по всей ширине несколько увеличены, но нет уголковой группы клеток. У вроде бы всех видов этого рода клетки в верхушке листа ромбические, а не линейные. Обычно у них побег относительно густо облиственный.
Этот мох соответствует моим представлениям о Sciuro-hypnum curtum (=Sciuro-hypnum oedipodium в определителях и сводках первых двух 10-летий 21 века, Brachythecium curtum). У него разные веточные и стеблевые листья. Веточные листья более эллиптические, обычно сильно пильчатые по краю, с очень слабо выраженной ушковой группой клеток в углах основания листа, часто с перекрученной верхушкой, не низбегающие. Стеблевые листья яйцевидные, слабее пильчатые, низбегающие, степень развития ушковой группы клеток в углах основания листа варьирует. Стиль облиственности побега, субстрат и местообитание очень подходят для этого вида. |
| Александр Козловских | Скорее всего да, думаю, можно перенести к виду. Спасибо.
http://arctoa.ru/Flora/taxonomy-ru/flora-2017-2023/vol5/brachytheciaceae3.pdf#Sciuro-hypnum (стр.508):
Sciuro-hypnum curtum – очень полиморфный вид, его обычно можно узнать по:
* не складчатым яйцевидным или яйцевидно-треугольным листьям;
* побегам, которые обычно расставленно и уплощенно облиственные, особенно веточки, но иногда облиственность б. м. округлая;
* довольно короткой слабой жилке, часто оканчивающейся на уровне 0.4–0.6 длины листа;
* прозрачной группе клеток углов основания листа, иногда занимающей большую часть ширины основания;
* сильно согнутым коробочкам, представленным во многих коллекциях. |

































