
Верхушки веточек и спорогонов. Свердловская обл., окр. г. Заречный, заболоченный участок сосново-берёзового леса, на валеже. 16.10.2025.
Александр Козловских © 2026
Смотри также:
Обсуждение (7)
Все фото таксона (16)
Код ссылки на фото
| Создать: | HTML или BBCode с "превьюшкой" |
| Код для ссылки в Сети: | |
| Так это будет выглядеть: | ![]() Brachythecium rutabulum на сайте «Плантариум» |
Ссылки для публикаций
Козловских А. 2026. Изображение Brachythecium rutabulum (Hedw.) Schimp. // Плантариум. Растения и лишайники России и сопредельных стран: открытый онлайн атлас и определитель растений. [Электронный ресурс] URL: https://www.plantarium.ru/page/image/id/866219.html (дата обращения: 13.05.2026).
Kozlovskikh A. 2026. Image of Brachythecium rutabulum (Hedw.) Schimp. // Plantarium. Plants and lichens of Russia and neighboring countries: open online galleries and plant identification guide. URL: https://www.plantarium.ru/lang/en/page/image/id/866219.html (accessed on 13 May 2026).
Просмотры: 246Обсуждение
| Александр Козловских | Вид чёрных ножек с загнутыми коробочками, думаю, поспособствовал в определении названия — кочерга.
* растения крупные, в густых дерновинках, зеленые, желто-зеленые;
* стебель простертый, до 10 см дл., густо ветвящийся, густо округло облиственный;
* веточки всесторонне облиственные;
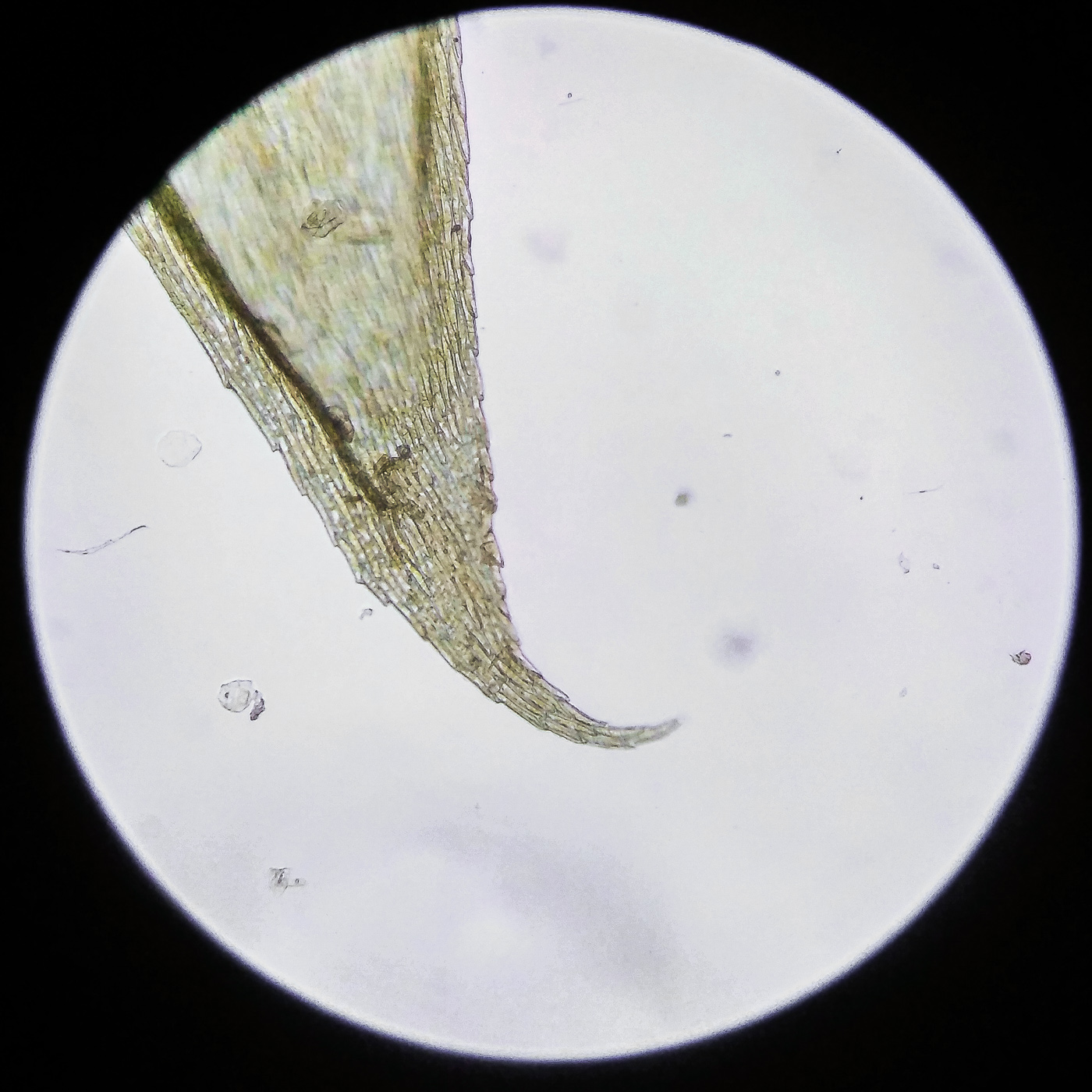
* стеблевые листья от прямо до далеко отстоящих, яйцевидные, широко яйцевидные или яйцевидно-треугольные, к верхушке резко или постепенно суженные, длинно или коротко заостренные, к основанию резко закругленные и б.м. узко низбегающие, вогнутые, б. м. складчатые;
* край плоский или в основании отогнутый, пильчатый;
* жилка достигает 0.4–0.7 длины листа;
* клетки в середине листа линейные, к основанию более широкие, на изгибе основания тонкостенные клетки образуют б.м. крупную, хорошо заметную группу, не достигающую края листа;
* однодомный;
* спорофиты часто;
* ножка до 3 см, сильно шероховатая;
* коробочка до 2.5 мм дл;
* крышечка коническая;
* споры 14–16 μm;
* колпачок голый.
Листья: |
| Александр Козловских | |
| Александр Козловских | |
| Александр Козловских | |
| Александр Козловских | |
| Александр Козловских | Перихециальные листья, коробочка, споры, экзотеций: |
| Александр Козловских | |




































































